Beyin kanaması, beyni besleyen damarlardan bir veya birkaçından dışarı kan sızması sonucu, kanla beslenen bölgenin çalışamaz duruma gelmesidir. Bu durum aniden oluşabilmektedir ve genellikle yüksek tansiyon hastalarında görülebilmektedir. Beyin kanaması sonucu hastada felç, inme meydana gelebilmektedir.
| Beyin kanaması | |
|---|---|
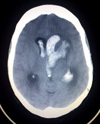
![]() | |
| BT ile çekilmiş bir spontan intrakranial kanama | |
| Uzmanlık | Acil tıp |
Kanama çeşitleri
Beyin içinde olan kanamalar
Beyni besleyen damarların cidarının yırtılması sonucu, kanın beyin içine sızması ve beyin dokusunu tahrip etmesidir. Beyin damarları yaş ilerledikçe yıpranırlar ve elastik özelliklerini kaybederler. Bu nedenle özellikle tansiyon yüksekliği olan yaşlı insanlarda sıklıkla yırtılarak beyin kanamaları oluştururlar. Hastaların bir tarafları felç olur. Ayak ve el (tutulan tarafta) tamamen veya kısmen felç olur. Ayrıca konuşma merkezinin tutulduğu durumlarda hasta konuşamaz. Genç yaşlarda beyin damarlarının civarının zayıflaması sonucunda balonlaşması ve bu balonlaşan kısmın yırtılması neticesinde beyin kanaması oluşabilir. Damarlarda oluşan bu balonlara "anevrizma" adı verilir. Anevrizma rüptürü, yani anevrizma yırtılması her yaşta görülebilir. Önceden tespit edilmeleri mümkündür. Kasıktan girilerek yapılan beyin anjiyosu sayesinde beyin damalarında oluşmuş ve henüz patlamamış durumda olan Anevrizmalar tespit edilebilir. Tıpkı kalp anjiyosunda olduğu gibi beyin anjiyosunda da bazı riskler söz konusudur. Anjiyo esnasında beyin damarlarında bulunan Anevrizmaların patlama riski bulunmaktadır.
Patlamadan tespit edilmiş Anevrizmaların tedavisi mümkündür. Tedavide Endovascular coiling (baloncuk içine yerleştirilen platin sarmal) dediğimiz yöntem kullanılmaktadır. Hastanın kasığından sokularak damar boyunca ilerleyen plastik bir tüp, Anevrizmaya kadar iletilir. Baloncuğun merkezine ulaşıldığında platin kıl, tüp içerisinden baloncuğun içinde bükülüp sarmal bir top oluşuncaya kadar söz konusu sarmal büyütülür. Top şeklini alan platin sarmal baloncuğu tamamen kaplayınca electrolytic ayırma dediğimiz bir süreçle tüpün içinde bulunan kıl (micron ebatlarındaki tel) ile bağı kopartılır. Buradaki temel amaç baloncuğun içini doldurarak, damar içinde akan kanın baloncukla olan irtibatını kesip bypass etmesini sağlamaktır. Sarmalın platin tel ile yapılmasının sebebi, operasyon sırasında kullanılan ve bu tip operasyonları mümkün kılan eşzamanlı x-ray cihazı tarafından sarmalın izlenebilmesi sağlamaktır. Söz konusu teknolojiye verilen isim ise Detachable Platinum Coil Technology'dir. Hastaların ölüm veya hasar riski bir senelik döneme bakıldığında %22,6'nin altındadır ki bu risk açık beyin ameliyatı ile baloncuğa metal klips takılmış hastalarınkinden daha azdır. Söz konusu tedavi dünya çapında 125.000 den fazla hasta üzerinde büyük bir başarı oranı ile uygulanmıştır. İyileşme dönemi açık ameliyat geçirmiş hastalarda 1 seneyi bulmasına rağmen, bu yöntemle tedavi görmüş kişilerde bu sürenin 27-30 gün gibi kısa sürdüğü gözlenmiştir.
Beyin dışına olan kanamalar
Genelde travmalar sonucunda oluşurlar. Beynin üzerinde duramater denen bir zar vardır. Bu zarın üstünde bulunan damarlar travma neticesinde kırılan veya çatlayan kafatası kemiklerinin zedelemesi ile kanama yapabilirler. Oluşan kanama beyin zarı duramater ile kafatası kemikleri arasında birikir ve beynin sıkışmasına neden olur. Ameliyat edilmezse beyin ölümü husule gelir ve hasta ölür. Bu kanamalara epidural hematom adı verilir. Şiddetli travmalarda beynin üzerindeki damarlarda zedelenebilir. Bu damarlardan sızan kan duramater (Beyin zarı) altında birikerek yine beynin sıkışmasına neden olur. Bu kanamalara subdural hematom adı verilir. Ayrıca beynin üzerini örten çok ince bir zar olan araknoid zarın altına doğru da kanama olabilir. Bu tür kanamalara da subaraknoid kanama adı verilir.
Kafa travmalarından sonra özellikle hastalar 24 saat müşahede altında tutulurlar. Bunun sebebi; beyin içinde başlayan bir kanama ilk başlarda belirti vermeyebilir. Ancak ilerleyen saatlerde kanamanın artması ve beyne baskı yapması sonucunda hasta komaya girebilir. Bu nedenle kafa darbelerinden sonra 24 saat hastanede gözlem altında tutulurlar. Hasta kazadan sonra ilerleyen saatlerde kusmaya başlarsa ve dalgınlaşırsa vakit geçirmeden hastaneye yetiştirilir.
Etkileri
İnsan beyninde dil işlevleri için özel alanlar mevcuttur. Bu alanlar; sağ elini kullanan kişilerin hemen tamamında sol beyin yarısında, sol elini kullananlarda ise en az %75 oranında yine soldadır. Konuşma merkezi sol beynin ön lobunda, anlama merkezi yan lobunda bulunur. Yazma ve okumayla ilgili merkez ise yan-üst lobdadır. Genelde beyin kanamasında, beynin sol tarafında meydana gelen bir hasar sonucu; kişi konuşma, konuşulanı anlama, okuma veya yazma gibi lisan kabiliyetlerini kaybeder.
İlk yardımda beyin kanaması teşhisi
Kişinin beyin kanamasını ihtimalini teşhisi ederken;
- Gülümsemesi, tebessüm etmesi istenir (Eğer yapamazsa felç olmuş olabilir)
- Bir cümle kurması istenir (Örnek: "Bugün çok güzel bir gün" gibi)
- Her iki kolunu birden kaldırması gerekir,
- Dilini dışarı çıkartması istenir. (Eğer dil yamulmuş ise felç geçirdiğine işarettir.)
